您的位置:草根抗癌网 > 新闻资讯 > 肺癌资讯 > 肺癌资讯

史上最全!肺癌靶点全面解读及对应靶向药物方

2019-03-02 19:13 来源:上海泽今健康官网 作者:泽今 点击:

         南平市购买泰瑞沙(AZD9291)乐伐替尼等靶向药的患者注意降价通知:上海泽今健康提供泰瑞沙(AZD9291), 乐伐替尼(仑伐替尼,E7080,Lenvima),哌柏西利,卡博替尼等靶向药物信息资讯,价格以药厂或医院即时通知为准 (通常以下调为主)现碧康公司主要产品均有下调,请南平市的患者咨询健康顾问17521780360,400-100-3607

        近两年,非小细胞肺癌的治疗产生了非常多的变化,特别是靶向药和免疫治疗领域产生了范式转变。因此,对于肺癌患者来说,这是一个充满奇迹的时代!

 

史上最全!肺癌靶点全面解读及对应靶向药物方案盘点!(2018)

 

 

       很多得了晚期肺癌的患者靠吃一代一代的靶向药,长期生存超过五年、十年甚至更长时间。在携带突变肺癌患者的治疗中,面对市场上众多的靶向药物,如何利用这些药物制定出最佳方案,是所有临床医生面临的共同挑战,也成为研究领域的一大热点。上海泽今健康为大家整理了目前肺癌的常见突变靶点及肿瘤患者如何选择靶向药物治疗方案,供大家参考。

       肺癌由两种主要的组织学亚型组成:非小细胞肺癌(NSCLC)和小细胞肺癌(SCLC)。随着医学的发展,非小细胞肺癌可以在分子水平,包括 AKT1,ALK,BRAF,EGFR,HER2,KRAS,MEK1,MET,NRAS,PIK3CA,RET和ROS1等突变进一步定义。其中,从不吸烟的人患EGFR,HER2,ALK,RET和ROS1突变的腺癌发生率最高。靶向药物也是最多的,而肺鳞癌(SCC)的药物较少。较新的药物,如贝伐单抗(阿瓦斯汀)和培美曲塞(Alimta)在SCC效果差,未被批准用于此类癌症。因此,转移性SCC患者的治疗选择比非鳞状NSCLC患者少。

史上最全!肺癌靶点全面解读及对应靶向药物方案盘点!(2018)

 

史上最全!肺癌靶点全面解读及对应靶向药物方案盘点!(2018)

 

表一:肺癌突变靶点频率及靶向治疗的可能性

 

肺癌突变靶点解读及相应靶向治疗方案

1

EGFR

 

       EGFR(epidermal growth factor receptor,ErbB-1或HER1)表皮生长因子受体是一种具有酪氨酸激酶活性的跨膜糖蛋白,是人类表皮生长因子受体酪氨酸激酶4个家族成员之一,通路活化后影响细胞的增殖、分化、信号的传导、血管的形成、细胞凋亡的抑制等。

EGFR特点:

  • 该突变主要在肺腺癌、亚裔、非吸烟及女性患者中,大约有 15% 的白种人和 30-50% 的亚洲人中有 EGFR 基因突变。无吸烟史者,比例高达 50-60%;
  • EGFR突变并不会跟NSCLC中发现的其他癌基因的突变(如KRAS突变,ALK重排等)重叠;
  • 最常见的突变位点是外显子19和21,占90%,称为经典型突变,其余10%为外显子18和20的突变。

 

一代靶向药

       目前已经获批的治疗药物包括第一代靶向药厄落替尼、吉非替尼和埃克替尼(我国自主研发)。

二代靶向药:

       第二代的不可逆 EGFR TKI 是阿法替尼和达克替尼。

三代靶向药:

       第三代 EGFR TKI(CO-1686 和 AZD9291奥西替尼)对 T790M 的选择性更高,临床效果更佳且毒性更小。

靶向治疗方案:

       这里划重点,有基因检测的病友可以拿出来参考下。

       EGFR(19DEL,L858R):针对这两种突变的肺癌患者, 最新版NCCN指南推荐一代EGFR抑制剂易瑞沙,特罗凯和二代EGFR抑制剂阿法替尼一线治疗。国产药凯美纳也在CSCO指南中推荐用于一线治疗。

       EGFR(G719X、S768I、L861Q):针对这3种位点突变,推荐使用阿法替尼,但是,阿法替尼对存在T790M突变、20号外显子插入突变的患者控制效果较差。除此,2018ASCO报道9291对于此类不常见突变疗效也不错,因此也可做选择药物。

       EGFR 20 ins插入突变:多发生于亚裔、女性、非吸烟、腺癌人群。目前尚无批准的药物,很多研究在开展,可参加的治疗方案如下:

1.化疗

2.阿法替尼和达可替尼

3.波奇替尼和TAK788(AP32788)

4.阿法替尼+西妥昔单抗

5.9291+西妥昔单抗

第一代EGFR抑制剂耐药处理

EGFR 20外显子T790M突变:使用三代TKI,AZD9291(奥西替尼),泰瑞莎;

MET扩增:联合克唑替尼治疗;

转变成小细胞肺癌:对此需联合小细胞肺癌的化疗方案进行治疗,如EP方案。当然在没有任何靶向药物可选的情况下,转归化疗是重要的方式。目前方案比较明确,不做赘述。

第三代EGFR抑制剂耐药处理

1. 基因检测后,当C797S突变是反式突变的话,可以9291联合易瑞沙或特罗凯。如果C797S突变是顺式突变,患者可以依据身体状况,进行化疗或者PD1/PDL1的免疫治疗,也有试验对顺式突变患者进行西妥昔单抗联合Brigatinib的治疗尝试。如果T790M突变丢失只存在C797S突变,此时单独使用一代TKI药物即可。

2. 基因检测出现MET扩增,可以9291联合克唑替尼/卡博替尼治疗。

3.基因检测HER2突变,可以选择阿法替尼。HER2扩增,可以使用TDM1或拉帕替尼。

4. 基因检测出RAS/BRAS突变,可以选择9291联合曲美替尼、舒尼替尼、索拉菲尼等。

5. 当检测出来FGFR1突变时,9291联合尼达尼布或德立替尼。

6.当检测出Braf突变,可以使用9291联合达拉菲尼。

7.当检测出PI3CA突变,可以使用9291联合mTOR抑制剂,如依维莫司等。

8.当病理检测发现患者已经转变为小细胞时,可以选择9291联合依托泊苷。除此,新的EGFR药物如EAI045也在试验进行中。

 

2

ALK

 

对于确定为ALK阳性的患者是幸运的,因为针对ALK的靶向药有效率超高,副作用不大,一不注意肿瘤就给“吃没了”。因此,ALK突变被称为“钻石突变”,虽然仅有5%,但可用的靶向药却很多,显着增加了治疗机会。

EML4 和 ALK 两个基因分别位于人类 2 号染色体的 p21 和 p23 上。这两个基因片段的倒位融合能够使得组织表达新的融合蛋白 EML4-ALK,这种融合基因能通过 PI3K-AKT,MAPK 和 JAKSTAT 途径导致肿瘤的发生。

ALK特点:

  • 它更容易出现在既往少量 / 无吸烟史和年轻的患者身上;
  • 其病理类型常常是腺癌,更具体而言是腺泡癌和印戒细胞癌;
  • 约 33% 非 EGFR 和 KRAS 突变的 NSCLC 患者会出现 EML4-ALK 突变;
  • EML4-ALK 突变有很强的排他性,即当它突变时,其他驱动基因往往不会发生变异。

 

靶向治疗方案:

首选治疗方案为克唑替尼,入脑性不强。如果出现耐药,可以进行基因检测看看是不是出现二次突变,最常见的是 L1196M 突变,ALK 拷贝数增加,以及新的驱动基因出现(如 EGFR 和 KRAS 突变)等。

耐药后可以考虑二代ALK抑制剂艾乐替尼或色瑞替尼或布加替尼。

色瑞替尼是第二代的 ALK 抑制剂,可用于初治的或克唑替尼治疗失败的 ALK 阳性肿瘤。其对初治和克唑替尼治疗失败的患者的 ORR 分别为 66% 和 55%。最近,美国药品食品管理局(FDA)批准色瑞替尼用于 ALK 阳性的转移性非小细胞肺癌和克唑替尼治疗失败的非小细胞肺癌患者。

在另一项临床试验里, alectinib(艾乐替尼)治疗 ALK 阳性的初治患者,ORR 可达惊人的 93.5%。

Brigatinib是一种新型的ALK和EGFR双重抑制剂,可强效抑制ALK的L1196M突变和EGFR的T790M突变。

劳拉替尼(Lorlatinib)是靶向ALK的第三代药物,旨在克服所有已知的ALK抗性突变并可通过血脑屏障。可抑制克唑替尼耐药的9种突变,对二代TKI药物耐药后仍有较高的有效性。同时劳拉替尼也具有较强的血脑屏障透过能力,入脑效果较强,特别适合对其他ALK耐药的晚期NSCLC患者。近日,FDA已经批准Lorlatinib用于治疗先前接受过一种或多种ALK抑制剂的ALK阳性转移性非小细胞肺癌患者。

 

作为全新一代的ALK抑制剂,Lorlatinib的优势在于:

  • 针对不同类型的ALK+患者,一线使用,有效率最高达90%;
  • 更重要的是,对于克唑替尼耐药的患者来说,继续使用Lorlatinib,有效率69%;
  • 而对于三种ALK抑制剂都耐药的患者,Lorlatinib也有很好的效果,有效率高达39%。

 

3

ROS1融合

ROS1 全称 c-ros 原癌基因,是一种跨膜的受体酪氨酸激酶基因。ROS1 染色体的易位可以激活 ROS1 激酶活性。

出现ROS1突变的患者,更多的是年轻的、非吸烟的肺癌患者,其中肺腺癌居多。突变者约占 NSCLC 总数的 3%。临床研究显示,克唑替尼对 ROS1 阳性的 NSCLC 有效,其 ORR 达 56%。治疗ROS1融合的药物有克唑替尼、色瑞替尼,卡博替尼,劳拉替尼,Entrectinib以及TPX005,以及DS-6051b。

 

此外,在2018年9月23~26号加拿大多伦多举行世界肺癌研究协会(IASLC)第19届世界肺癌大会的新闻发布会上,新药物entrectinib(代号RXDX-101)在ROS1阳性非小细胞肺癌(NSCLC)中的第1阶段和第2阶段临床试验的结果非常令人兴奋!

53名可评估反应的患者反应率为77.4%,中位反应持续时间为24.6个月。值得一提的是,这些患者包括20名(占总入组患者的37.7%)未治疗和治疗的伴有脑转移患者,反应率为55%!我们期待这款新药物的更多临床数据,期待早日上市。

4

BRAF

 

BRAF 基因能编码丝氨酸 / 苏氨酸蛋白激酶,是 RAF 家族的一员。BRAF 能通过磷酸化 MEK 和激活下游的 ERK 信号通路介导肿瘤发生。

只有 1%-3% 的非小细胞肺癌会出现 BRAF 基因突变,这其中有 50% 是 BRAF V600E 位点突变,更容易出现腺癌、女性和不吸烟的患者中。

FDA获批了达拉菲尼(150mg bid)联合曲美替尼(2mg qd)的治疗方案,有效率ORR是64%,疾病控制率DCR为72%,PFS为9.7个月。

除此,达拉菲尼、威罗非尼单药都用于BRAFV600E突变肺癌患者的治疗,威罗菲尼单药治疗有效率ORR 42%,PFS是7.3个月。达拉菲尼单药治疗有效率ORR是33%,DCR是56%。

5

MET基因突变

MET 是一种络氨酸激酶受体,它的过度激活与肿瘤发生、发展、预后与转归密切相关,过度激活会导致其下游信号途径的激活,最终导致细胞的转化、增殖和抵抗细胞凋亡、促进细胞生存、引起肿瘤转移、血管生成及上皮 - 间充质转化(EMT)等。

目前针对MET基因异常的药物较多,克唑替尼及卡博替尼在临床中应用比较普遍,除此Capmatinib(INC280)、Tepotinib、onartuzumab (MetMAb)、Rilotumumab、Savolitinib等药物也逐步进入II及III期临床试验.

6

HER-2基因突变

HER-2(又名ErbB2)和EGFR一样,也是ErbB受体家族四大成员之一。HER-2是一个增殖驱动,它在NSCLC中的异常表现为扩增、过表达和突变。在NSCLC中,HER-2扩增和HER-2过表达大约占20%和6%-35%,HER-2突变占1%-2%。大部分出现HER-2基因突变的NSCLC患者是女性、不吸烟者和腺癌患者。

HER2(ERBB2)突变: T-DM1、阿法替尼、曲妥珠单抗、吡咯替尼(Pyrotinib)和波奇替尼。在肺癌的现行NCCN指南中,对于HER2突变的肺癌推荐以T-DM1为主。目前还有曲妥珠单抗和阿法替尼治疗HER-2阳性非小细胞肺癌患者的研究在进行,我们只能拭目以待。

7

RET基因易位

RET基因可以与CCDC6,KIF5B,NCOA4和TRIM33等易位融合。这种现象可以在1%的腺癌患者中发生。但对于年轻的,不吸烟的患者来说,概率可以提升到7%-17%。

卡博替尼(cabozantinib)、凡德他尼(vandetanib)、舒尼替尼(sunitinib)和普纳替尼(ponatinib)等酪氨酸激酶抑制剂早已被批准应用于RET阳性的其他肿瘤。而对于非小细胞肺癌的临床试验也正在紧锣密鼓的进行当中。另外,瑞戈非尼(regorafenib)和lenvatinib也是RET抑制剂。

NCCN指南建议凡德他尼和卡博替尼用于RET阳性的NSCLC患者。最近报道的RET抑制剂BLU-667和LOXO-292以及RXDX-105在治疗RET融合的NSCLC患者中效果也是非常不错!

在带有RET融合变异的患者中,LOXO-292的总体缓解率为77%。其中,非小细胞肺癌的总体缓解率也为77%

根据MD Anderson发布的新闻稿,BLU-667被选中进行调查是因为它对RET的选择性比其他激酶测试的选择性高100倍!并已被证明可有效阻止与多种激酶治疗抵抗有关的基因突变!非小细胞肺癌患者的ORR为50%!

8

KRAS突变

KRAS是RAS家族的一员。KRAS的突变会持续刺激细胞生长,并阻止细胞死亡,从而导致肿瘤的发生。有KRAS突变的患者会对EGFR抑制剂耐药。伴有KRAS基因突变的NSCLC患者会有更高的复发和转移几率。因此,存在ras突变的肿瘤更具侵袭性和更加预后不良。腺癌、吸烟史及白色人种是KRAS突变的危险因素。目前并没有治疗KRAS基因突变的晚期非小细胞肺癌药物,各大公司的研究重点也都集中在KRAS的下游通路上,如MEK。

在一项随机研究中,口服的MEK抑制剂司美替尼(selumetinib)联合化疗用于经治的KRAS突变非小细胞肺癌患者。与单纯化疗相比,其ORR(37%:0%)、PFS(5.3个月:2.1个月)、OS(9.4个月:5.2个月)均有了长足的进步。

9

NTRK融合

近两年,除了PD-1,最火的就是一款万众期待的“治愈系”广谱抗癌药Larotrectinib,也就是大名鼎鼎的LOXO-101,大家也因此知道了一种新的突变NTRK融合。

NTRK基因能编码高亲和力的神经生长因子受体(TRKA),从而促进细胞分化。据报道,约有3%的没有其他已知癌基因突变的NSCLC患者肿瘤中可以发现NTRK1基因融合现象。

在今年的世界肺癌大会上,报告了截至2018年2月19日,在初步分析组中的55名患者中的4例经过治疗的TRK融合非小细胞肺癌患者的详细信息和随访。

患者口服larotrectinib100 mg,每日两次(BID),直至疾病进展或缺乏临床获益。

 

史上最全!肺癌靶点全面解读及对应靶向药物方案盘点!(2018)

 

 

 

结果

4例接受拉罗替尼治疗的NTRK基因融合的NSCLC患者中3例都出现持续反应(从8.21到> 20.27个月

一位45岁的大姐诊断患有IV期NSCLC腺癌,肝脏和纵隔转移以及肥厚性骨关节病(HOA)症状,她曾接受过以前的铂类和培美曲塞治疗。

基因检测发现,NTRK融合基因,接受larotrectinib100 mg每日两次,出现快速反应,表现为第1周期(研究第8天)HOA症状,咳嗽和疲劳的改善以及第3周期完全没有咳嗽。第54天出现部分反应。反应持续时间> 12.88个月。

史上最全!肺癌靶点全面解读及对应靶向药物方案盘点!(2018)

 

史上最全!肺癌靶点全面解读及对应靶向药物方案盘点!(2018)

 

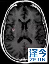
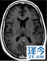
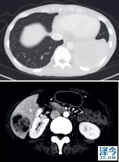
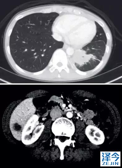
一位77岁的女性患有EPS15-NTRK1 IV期非小细胞肺癌,我们可以看到她的双肺满是病灶,并且出现了肝脏和脑转移,可以说是非常非常晚期了,

既往有乳腺癌史;

既往症状有厌食,乏力,咳嗽,高脂血症;

ECOG 1;

没有接受手术,放疗或化疗。

开始使用larotrectinib 100 mg BID并持续治疗,

第3周期开始:

肺靶病变达到缓解,我们可以明显的看到前后的图像,病灶明显缩小了,

脑转移病变显示缩小了95%!

初始, 2018年6月 3周期 2018年8月

 

史上最全!肺癌靶点全面解读及对应靶向药物方案盘点!(2018)

 

 

史上最全!肺癌靶点全面解读及对应靶向药物方案盘点!(2018)

 

 

史上最全!肺癌靶点全面解读及对应靶向药物方案盘点!(2018)

 

 

史上最全!肺癌靶点全面解读及对应靶向药物方案盘点!(2018)

 

 

因此,只要你经过基因检测,存在

NTRK1、NTRK2或者NTRK3基因融合,理论上都是适合的!如果不出意外,根据官网的消息,这款药将于11月26日上市,让我们迎接它的到来吧!

最后,Rossy提醒大家,一般检查融合基因需要使用二代基因检测技术。而且一定注意是NTRK基因与其他基因融合发生的突变,而不是一个随便的点突变。

全球顶尖的基因检测公司凯瑞思和Foundation Medicine最近也研发了Foundation One CDx用于NTRK融合检测,想了解的患者可以致电上海泽今健康医学部咨询。

 

史上最全!肺癌靶点全面解读及对应靶向药物方案盘点!(2018)

 

 

10

FGFR1扩增

 

FGFR1是一种受体型酪氨酸激酶,它通过MAPK和PI3K通路介导肿瘤发生。13%-25%的肺鳞癌可以检测出该种突变,肺腺癌中罕见。

吸烟史是FGFR1突变的危险因素。FGFR1突变对预后的影响仍不可知,因为各项报道的结论并不一致。用FGFR抑制剂来治疗肺鳞癌的研究刚刚起步。初步研究的数据表明,用BGJ398(一种广泛的FGFR抑制剂)来治疗FGFR1阳性的肺鳞癌,反应率为11.7%。

11

DDR2

 

DDR2是一种只能被胶原激活而非肽类生长因子激活的酪氨酸激酶受体,它能促进细胞迁移、增殖和存活。4%-5%的肺鳞状细胞癌中可以出现DDR2突变。

达沙替尼(dasatinib)是一种酪氨酸激酶抑制剂,曾经被用于慢性粒细胞性白血病。最新研究发现,达沙替尼治疗DDR2突变的肺鳞癌同步慢性粒细胞性白血病有效。而达沙替尼治疗DDR2突变的肺鳞癌的临床研究仍在进行中。

12

PI3K信号通路异常

 

PI3K信号通路是肿瘤存活和增殖的核心通路。PI3KCA和AKT1基因功能的放大、PTEN基因功能的丧失都会引起PI3K信号通路的改变。

据报道,PI3KCA扩增和突变分别占非小细胞肺癌的37%和9%。PI3KCA突变是肺鳞状细胞癌的不良预后因素。BKM120是I型PI3K抑制剂。

结语

       现在,我们有很多的治疗选择。肿瘤学家可以更精准地选择具有更好结果和更好耐受性的疗法,对患者来说更是一件好事。越来越多肺癌患者将在科学指导和精准医疗指导下,合理地轮换药物。延长生存期,长期带瘤生存,将肺癌变成慢性病的梦想已经照进现实。

       而对于肺癌患者,前期基因检测是绝对必要的。有助于选择化疗方案(这将是大多数患者的选择)及靶向治疗方案。还需要进行免疫组织化学研究来了解PD-L1水平等,当然,还要找到基因靶点,需要对靶标和TMB进行全面的分析。NCCN指南已经明确建议肺癌患者接受全基因组测序,全面检测突变靶点,而不是个别常见的靶点如:EGFR/ALK等。如何选择基因检测公司,请参阅:盘点|知名癌症基因检测公司排名!

       我们处在一个充满奇迹的时代,快速发展的医疗科技给人类带来了新的希望。

       曾经,癌症是不治之症。但随着抗癌手段的不断更新,尤其是分子靶向药物等新一代治疗方法的出现,人类全面战胜癌症的那天不再遥不可及,让我们一起见证这一天的来临!

 

购买泰瑞沙(AZD9291)乐伐替尼等靶向药的患者注意降价通知:上海泽今健康提供泰瑞沙(AZD9291), 乐伐替尼(仑伐替尼,E7080,Lenvima),哌柏西利,卡博替尼等靶向药物信息资讯,价格以药厂或医院即时通知为准 (通常以下调为主)现碧康公司主要产品均有下调,请

上一篇:知否?奥希替尼耐药机制逐一告破!四大策略助

下一篇:全世界早期非小细胞肺癌患者免费用“神药”欧

 QQ

扫描二维码分享到微信