研究发现 MET 基因 14 外显子跳跃突变(MET exon14-skipping)多发生于非小细胞肺癌,并以其中的肺肉瘤样癌和腺癌更多见,在肺腺癌中的发生率约3~4%,在肺肉瘤样癌中的发生率可高达22%。
从 2014 年 7 月 TCGA 发现肺腺癌 METexon14-skipping 以后,引起极大的关注和研究热情,MET 抑制剂显示了极好的近期疗效,MET 突变可能有望成为其靶向治疗的潜在靶点。
一、MET 14外显子剪接区域突变研究现状
2014年7月
美国癌症基因研究组(The Cancer Genome Atlas, TCGA)通过对 mRNA和 DNA 高通量测序结果及序列比对分析,发现约4%(10/230)肺腺癌存在MET14外显子剪接位点突变,导致 MET 第 14 外显子在 mRNA 水平出现部分或完全跳跃缺失突变 (exon14-skipping)。【Nature 2014; 511:543-50】
2015年5月
Paik 等在178 例 VI 期肺腺癌中发现 8 例 MET exon14 缺失(发生率约 4%),4 例患者接受克唑替尼或卡博替尼,1例获得 CR、3 例 PR。Frampton等在 38028 例肿瘤中发现了 224 例 MET exon14 缺失突变者(发生率约0.6%),其中发生率较高的癌症依次为肺腺癌(3%),其他肺肿瘤(2.3%),脑胶质瘤(0.4%)及原发灶不明癌(0.4%)。【Cancer Discovery 2015;5】
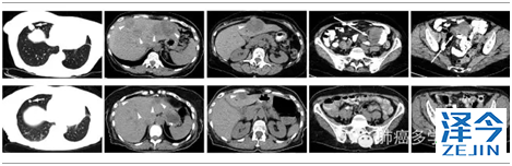
2015年7月
刘学文等通过高通量测序及针对MET基因进行双向测序,在36例肺肉瘤样癌中发现了 8 例 METexon14缺失(发生率22%)。同时报道了1例肺肉瘤样癌接受克唑替尼治疗肿瘤退缩约 80%(见下图)。这 8 例 MET exon14 突变患者的特征:不存在 EGFR、KRAS、BRAF、ALK突变(互斥)。其中1 例合并有 PIK3CA 突变。8 例MET突变中 7 例的肿瘤组织存在腺泡样腺癌成分。【J Clin Oncol. 2015 Jul 27】

2016年1月
Award等报道在933例非鳞 NSCLC 中,发现28例MET 14缺失(28/933,约3.0%)。总结MET 14跳跃突变患者特点:(1)年龄(中位年龄72.5)大于 EGFR 突变(中位年龄 61)和 KRAS 突变(中位年龄 65)患者;(2)与I-III期相比, IV期肿瘤多伴有MET 扩增和MET蛋白高表达。【 J Clin Oncol. 2016】
二、关于MET扩增
MET基因自发现至今已有20余年,近些年来人们对肿瘤固有的MET异常产生了极大兴趣,MET 活化形式多样,包括MET基因扩增、MET 蛋白过表达和MET基因突变,目前还没弄清哪一种才是代表MET活化的最佳标志物。
以 MET 高表达作为筛选 NSCLC 的标志物,基于 MET 单抗 onartuzumab 的 III期(phaseIII METLung trial)和基于小分子抑制剂 Tivantinib 的 II 期 (ARQ197-209)临床试验均以失败告终。
MET扩增也是EGFR-KTI耐药机制之一,MET扩增被证实为约 5% 的 NSCLC 患者第一代或第二代 EGFR-TKIS 耐药的原因。2014年TCGA关于肺腺癌的基因组学研究发现MET扩增是约 2.2%肺腺癌的关键驱动基因。2014年ASCO年会上报告了克唑替尼(MET/ALK/ROS1靶向抑制剂)的 I 期临床试验结果,约33%(4/12)患者获得PR(Abstract 8001)。

三、关于MET 14 外显子突变
MET exon14 编码的近膜结构域是 MET 的关键负性调控区,包含一半胱天冬酶裂解序列(ESVD1002)和一个 E3 泛素连接酶 c-CBL 酪氨酸结合位点(Y1003),参与 MET 蛋白的泛素化和降解(见下图)。近膜结构域的缺失可使MET蛋白泛素化障碍,MET 降解率减低,从而增加MET的稳定性和引起下游信号的持续激活。导致 METexon14 在转录水平跳跃缺失的原因主要是METexon14剪接区域的点突变或缺失突变,还有极少数是 Y1003* 点突变。

MET基因近膜结构域(exon14)示意图 ( Cancer Dis. 2015)
四、MET 14 skipping对MET抑制剂有着极好的治疗反应
从现已发表的文章中,总结出 11 例发生 MET 14 跳跃突变并接受 MET 抑制剂的 NSCLC 患者,年龄在 61-90 岁,中位年龄 76 岁。男 5,女 6,抽烟 8人,不抽烟 3 人。其中腺癌7例,肉瘤样癌 2 例,鳞癌和大细胞癌各 1 例。
在这11例患者中,1例获CR,10例获PR,有效率达到了100%。在做MET免疫组化 5例中,2+(1例)~ 3+(4例),在做MET扩增检测5例中,3例扩增,2例正常。【参考文献Park, et al, Cancer Dis 2015; Jenkins, et al, Clinical Lung Cancer, 2015; Waqar, et al, J Thorac Oncol, 2015; Frampton, et al, Cancer Dis. 2015; Liu, et al. J Clin Oncol, 2015; Lee, et al. J Thorac Oncol. 2015】
五、关于肺肉瘤样癌
1. 临床和病理特点
肺肉瘤样癌(PSC)是一种罕见的分化低、预后差的非小细胞肺癌,包含肉瘤或肉瘤样成分,在所有肺部恶性肿瘤约占1%。PSC主要发生于男性患者,且大部分有吸烟史,肿瘤进展快、易复发,对传统化疗不敏感。国内的研究发现这群患者的平均存活时间为19.1月,5年存活率为17.4%。
法国一项研究:77 例肺肉瘤,中位年龄为 61 岁(53-69 岁)。组织学类型分别为多形性癌(78%),癌肉瘤(12%),巨细胞和 / 或梭型细胞癌(10%)。90% 的患者出现血管浸润。形态学和免疫组化显示:41.5%为腺癌来源,17% 为鳞癌来源,11.5% 为腺鳞癌来源,另 30% 则无法确定来源。免疫组化:34%患者 c-MET 表达阳性,且与血管浸润相关。
77 例患者 5 年总生存率为 29%,其中 I 期患者 5 年总生存率为 77%,II 期患者为 15%,III 期为 10%,IV期为 0%。
2. 基因突变
法国一项研究(77 例肺肉瘤):KRAS 突变31%,PIK3CA 突变率为8% ,EGFR 突变只有3% ,MET 突变为3%,未发现HER2,BRAF突变和ALK 重排者。
来自Cosmic数据检索:KRAS占24%、PIK3CA占8%,EGFR占4%。
有人检测11例PSC患者的EGFR基因,均为野生型。
延伸阅读:
MET抑制剂克唑替尼的适应症有:
ALK 重排
MET 扩增
ROS-1 重排
MET14外显了跳跃突变
MET基因14外显子跳跃是一个全新的癌基因靶点,预示着MET抑制剂有效。比MET蛋白高表达或基因扩增能够更好地预测MET抑制剂的疗效。
泰瑞沙AZD9291常见问题
【1】孟加拉泰瑞沙AZD9291使用说明书【2】吴一龙教授解惑:关于泰瑞沙(AZD9291)
【3】易瑞沙官方验证(免费),助患者远离假药
【4】泰瑞沙AZD9291上市到被批准为一线治疗的过程
【5】靶向药用药规则被打破——泰瑞沙azd9291升级一线治疗
【6】肺癌靶向药克唑替尼、奥希替尼AZD9291有仿制药吗
【7】孟加拉BEACON厂家生产的泰瑞沙AZD9291官方售价多少
【8】阿斯利康第三代肺癌靶向药物泰瑞沙在中国获批
【9】泰瑞沙(AZD9291)适合服用的人群有哪些
【10】泰瑞莎——孟加拉碧康黑盒版
【11】认识肺癌 症状自查与建议
【12】肺癌完胜化疗,泰瑞沙治疗肺癌脑转移缓解率高达70%
