不可思议,肺腺癌患者吃了这种靶向药居然变成了小细胞肺癌!
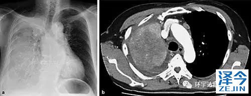
肺腺癌患者服用靶向药物后出现耐药,检测后竟发现转为小细胞癌!为什么会出现这种情况,肿瘤患者靶向治疗耐药后应该怎么办?六十五岁女士由于右胸痛及劳累性呼吸困难而来医院检查。CT扫描显示右上叶和右胸腔积液中有巨大肿块(图1 b)。另外,左肺,肝,左肾上腺以及纵隔淋巴结肿大也发现多个肿块。
右侧胸腔积液细胞学诊断为腺癌,表皮生长因子受体(EGFR;外显子21 L858R)突变阳性。

图1a显示右肺渗透性降低的胸片。b胸部的CT图像显示右肺和右胸腔积液中的巨大肿块
于是这位患者选择了阿法替尼进行初始治疗。不久,肿瘤明显消退,但随后3个月病情迅速进展。
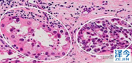
随后医生再次进行了活检,以明确抵抗阿法替尼的原因。组织病理学显示小细胞癌(SCC)和携带相同EGFR突变的腺癌的混合物。

经支气管再活检标本的病理分析显示腺癌(左圆)和小细胞癌(右圆)
这是肺腺癌在阿法替尼治疗后首次转化为小细胞癌的病历报告。
案例分析
肺癌如存在表皮生长因子受体(EGFR)的突变通常对EGFR酪氨酸激酶抑制剂(TKI)有交好的响应,但大多数患者也会获得抗性,也就是耐药。
据报道,肿瘤转化是第一代EGFR-TKI(易瑞沙、特罗凯)治疗后获得性抵抗机制之一,发生在14%的抗性病例中。对于这类病友,可以考虑联合AZD9291和适用于小细胞肺癌的化疗(顺铂+VP-16),可能有效果。目前已经有成功的先例,下面就是一个今年3月发表的具体案例(用AZD9291之前是腺癌,耐药以后变成了小细胞肺癌,打了化疗以后,缓解了)。

然而,很少有报道描述用第二代EGFR-TKI 阿法替尼治疗也会出现这种转化。这是已知的非典型药物治疗后第一次向SCC转化的报告。
靶向治疗耐药后应该怎么办?出现耐药的情况有可能是以下三种原因:
EGFR基因发生了新的突变
最常见的是C797S突变,大约占15%-40%的病人是由于产生了这个新的耐药突变,其他的少见耐药突变包括:L718Q,G796D等。
其他基因发生了变异
EGFR信号通路被AZD9291给阻断了,为了活命,癌细胞可以变着法子激活其他的信号通路,比如HER2扩增,BRAF基因突变,MET基因扩增,KRAS突变等。
转化为小细胞肺癌
携带EGFR基因突变的非小细胞肺癌,接受靶向治疗后,一部分会转变为小细胞肺癌,这个现象在接受第一代靶向药的患者中其实不少见。
这个时候,搞清楚耐药的原因非常重要——因此需要再次活检,再次基因检测,非常重要!
再次活检,再次基因检测!
1、重新穿刺活检
当EGFR-TKI的耐药性发生在携带EGFR突变的肺癌中时,推荐重新活检以揭示其抵抗机制。对于外显子20中具有T790M突变的病例,据报道奥西他滨是一种有希望的治疗方案。
2、重新检测靶点
最近报道了液体活检的实用性,用于检测T790M突变。然而,到目前为止,SCC转化不能通过液体活检检测。在EGFR-TKI治疗失败的情况下,应进行再次活检以揭示抵抗机制,并通过基因检测辅助选择适当的治疗方法。
据上海泽今健康专家介绍,美国是世界癌症研究和治疗最先进的国家,是精准治疗和癌症基因研究的先行者,拥有全球最的核心检测和分析技术。
Foundation基因检测是全球领先的靶向治疗检测技术,可以为癌症患者提供最精准的靶向治疗机会。详情致电021-3160 2005,或登录上海泽今健康。
咨询癌症治疗技术及癌症专家,请致电或登录上海泽今健康。
本文为上海泽今健康原创文章,转载需注明作者和来源。
上海泽今健康是由医生组建的专业抗癌技术服务平台,与国内外医院保持密切的会诊和转诊合作关系,可以帮助患者在全球范围内选择最适合的医院、技术、药物、临床实验进行治疗,可以为患者提供终身的抗癌追踪和治疗服务。国内患者可以通过上海泽今健康接受癌症专家的会诊,通过平台直接预约前往美国医院治疗,也可以通过平台接受抗癌技术评估和治疗。
泰瑞沙AZD9291常见问题
【1】孟加拉泰瑞沙AZD9291使用说明书【2】吴一龙教授解惑:关于泰瑞沙(AZD9291)
【3】易瑞沙官方验证(免费),助患者远离假药
【4】泰瑞沙AZD9291上市到被批准为一线治疗的过程
【5】靶向药用药规则被打破——泰瑞沙azd9291升级一线治疗
【6】肺癌靶向药克唑替尼、奥希替尼AZD9291有仿制药吗
【7】孟加拉BEACON厂家生产的泰瑞沙AZD9291官方售价多少
【8】阿斯利康第三代肺癌靶向药物泰瑞沙在中国获批
【9】泰瑞沙(AZD9291)适合服用的人群有哪些
【10】泰瑞莎——孟加拉碧康黑盒版
【11】认识肺癌 症状自查与建议
【12】肺癌完胜化疗,泰瑞沙治疗肺癌脑转移缓解率高达70%
