您的位置:草根抗癌网 > 新闻资讯 > 行业资讯 > 行业资讯

肝癌化疗不敏感,铂类毒性大,瑞士新纳米技术

2019-06-04 09:34 来源:上海泽今健康官网 作者:泽今 点击:
 近年来,靶向抗癌药物获批数量持续增加,给一些幸运的癌症患者带来了巨大的获益。

 

但是,仍不能忽视常规化疗剂在癌症治疗中的重要作用。化疗药物最常用的是攻击和杀死癌细胞的铂类细胞毒性制剂。

 

而这些治疗效果较好的铂类药物也会损害健康组织并导致严重的副作用,使得患者苦不堪言,用or不用,难以抉择。

 

实践基于理论

苏黎世联邦理工学院的研究人员现已确定了一种方法,可以使用铂类药物进行更具选择性的癌症治疗,有效避免对健康细胞造成的损害。

 

当氧化成2价铂(Pt2+)时,铂(Pt2+)具有细胞毒性,常规的铂类化疗药物都是以这种2价铂形式存在。然而,未氧化的铂(0价)对细胞的毒性要小得多。

2-21-1

寻找纳米肽固定铂类

基于这些知识,由有机化学实验室教授Helma Wennemers和她的博士后Michal Shoshan领导的团队寻找将铂(0价)引入靶细胞(癌细胞)的方法,然后再开始被氧化成2价铂(Pt2+)。

 

为此,他们使用了非氧化的铂纳米颗粒,首先必须用肽类来进行稳定。他们筛选了含有数千种肽的文库,以鉴定出适合生产多年稳定的铂纳米颗粒(直径2.5纳米)的肽。

 

实践出真知

用癌细胞培养物进行测试,显示铂(0价)纳米颗粒顺利渗透到细胞中。而一旦进入肝癌细胞的特定环境,它们就会被氧化成2价铂,从而引发铂(2价)带来细胞毒性作用,有效杀伤肝癌细胞,保证正常细胞安然无恙。

 

纳米铂高度识别肝癌细胞

对十种不同类型的人细胞的研究还表明,肽包被的纳米颗粒的毒性对肝癌细胞具有高度选择性。它们与索拉非尼具有相同的毒性作用,索拉非尼是目前治疗原发性肝肿瘤最常用的药物。

 

然而,纳米颗粒比索拉非尼更具选择性,有效靶向肝癌细胞,并且明显比众所周知的化疗药顺铂更具选择性。因此可以想象纳米颗粒具有比常规药物更少的副作用。

 

研究团队使用特殊的质谱法测定了细胞及其细胞核内的铂含量。他们得出结论,肝癌细胞核中的铂含量显着高于结直肠癌细胞中的铂含量。作者认为,由肝癌细胞中的铂纳米颗粒氧化产生的铂(2价)离子进入细胞核,释放出毒性。

 

“肝癌治疗仍然处于一种缺乏新药的长期局面,虽然2018年有几种新药获批(乐伐替尼、派姆单抗),但是,能让广大肝癌患者普遍获益的疗法还很少,新技术、新方法来提高药物对肝癌细胞的特异选择性还迫在眉睫。 

 

本研究中采用纳米技术来提高铂类药物对肝癌细胞的高度选择性,对健康细胞没有损伤,这是非常大的进步。未来的研究还将扩大纳米粒子的化学性质,以便更好地控制其生物效应,我们期待这一抗癌方法早日问世。
 

我们来全面了解一下肝癌有哪些治疗方法。

1、外科手术(根治性切除、二期切除、减体积切除、腹腔镜肝切除)

手术切除仍是肝癌治疗的最佳选择,“以手术为主的综合治疗”仍是肝癌治疗的基本原则。早期切除是提高肝癌外科疗效的关键所在。早期肝癌切除后的5年生存率可达60%以上。BUT,肝癌发病隐匿,一般发现多数已经失去手术机会。这时候可以根据患者病灶部位及身体状况采用局部切除联合放化疗的方式。

2、肝移植

全肝切除和肝移植技术也是用来治疗肝癌是一个合理的考虑。对于没有肝外转移的患者,肝移植不仅切除了肿瘤,更去除了肿瘤发生的“土壤”,同时又解决了肝硬化和门脉高压症问题,符合肿瘤的根治性原则,是理想的治疗方法。但其费用高昂,部分患者不能接受,临床应用受到一定限制。

3、局部消融治疗

肿瘤局部消融治疗包括热消融、冷冻消融、药物消融。目前应用较多的方法有射频消融、微波固化、氩氦刀冷冻治疗、瘤内无水酒精注射等。其共同特点是:(1)对于特殊部位的小肝癌安全有效。(2)对较大肝癌,可作为综合治疗的一部分。(3)微创手术,可重复多次进行,损伤小,痛苦轻,恢复快。(4)可与开腹手术并用,作为手术治疗的补充。(5)部分患者疗效接近根治性手术。

4、介入治疗

肝动脉栓塞化疗肝动脉栓塞(TACE)是不能切除的大肝癌和多发性肝癌治疗的治疗方法之一。介入治疗有它的不完全性,不能完全阻止肿瘤的血液供应,不能达到根治性效果,但可以延缓肿瘤生长。部分不能手术切除患者,经栓塞治疗后可能得到根治性手术机会。

5、靶向治疗

肝癌对于化疗药敏感性很差,治疗效果不佳,且易发生严重副作用,因此很少用化疗进行肝癌全身治疗。而靶向药的问世,改善了肝癌患者的用药荒。目前,FDA获批的靶向药共有4种,分别为:

索拉非尼:Sorafenib (Nexavar®)适用于不可切除的肝癌;

瑞戈非尼:regorafenib (Stivarga®)适用于索拉非尼耐药的肝癌;

纳武单抗:nivolumab (Opdivo®)适用于索拉非尼耐药的肝癌;

乐伐替尼:lenvatinib mesylate (Lenvima®)适用于一线治疗手术无法切除的肝癌。

6、放疗——质子治疗为首选

肝癌对放射治疗不甚敏感,且在采用杀伤肝癌细胞的剂量照射肝脏组织时,正常的肝细胞也受到相当的杀伤。但由于定位方法的改进,技术上采用局部或半肝移动照射,疗效可显著提高。目前趋向于用放射治疗合并肝动脉栓塞化疗,再同时结合中药或其他治疗方法,治疗效果更好。放疗中的 “劳斯莱斯”——质子治疗打破了肝癌放疗耐受的局面,我们将质子治疗成为高配版放疗。

质子治疗优于普通放疗首先是照射线不同,普通放疗是X射线,属于光子线,副作用较大,周围健康组织易受到损害;质子采用的是质子线,对人体辐射伤害小。其次,质子线照射肿瘤时会形成一个布拉格峰,简单来说就是射线的能量在到达肿瘤部位后全部释放出来,肿瘤前、后以及周边健康组织不受波及;X射线到达人体皮肤开始就释放能量,皮炎是最常见的副作用,到达肿瘤部位能量消耗大半,有效剂量不足,且肿瘤后面还会有能量射出,健康组织无法避免受到损害。质子治疗时间较短,几分钟就可以完成治疗,一般门诊治疗后,就可以回家。

质子治疗的优势是,同样的治疗效果,质子治疗不会引发严重的副作用,例如肝脏周边有重要的器官,肺、心脏、食管、脊柱等,X线放疗不敢保证这些器官受到损伤的程度,有可能发生严重的并发症而导致死亡。

肝癌质子治疗9年后肿瘤消失

患者,女

2007年7月因查体发现肝脏占位3天入院,CT检查发现肝脏方叶区见类圆形稍低密度影,边界尚清,增强扫描病灶不均匀强化,病灶边界更清,大小约5.0*4.5cm,诊断为肝方叶区肝癌。

2007年7月行4D-PET检查,腹部肝右叶前段可见一类圆形异常放射性摄取增高灶,其内代谢欠均匀,最大SUV20,最大截面约4.9cm,相应CT层面示低密度灶。脾脏肿大9个肋单元。检查结论:肝Ca。进行质子放射治疗,肝部病灶70Gy/28F。

质子治疗九年后复查肿瘤消失,患者无其他副作用,完全可以正常生活。病人无进展生存九年。

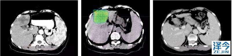
左:质子治疗前检查图像:肝右叶前段见类圆形低密度影,呈不均匀强化,边界清楚

中:质子治疗剂量分布:剂量分布均匀,包绕肿瘤组织,对周围正常肝组织保护好

右:质子治疗九年后复查图像:肝右叶肿瘤消失

肝癌患者被宣判仅剩3-6个月 质子治疗给了他二次生命

辛辛那提一位男子Roberto很不幸地患上一种罕见的肝癌,医生告诉他只有3-6个月的寿命,但是,因为辛辛那提大学一个癌症治疗团队,Roberto获得了第二次生命。跟普通人一样,Roberto一直在为梦想而活,载着漂亮的新娘,开着梦想的车,在开阔的道路上驰骋......但是,有一天,Roberto因为身体不适而入院检查,结果医生却很直接地告诉他可能要处理后事了......高科技影像显示Roberto罹患一种成年人罕见的肝癌,这是一种致命性很强的癌症,他的寿命仅剩3-6个月的时间。

但是,他主治医生Kharofa博士又建议他,或许可以试试一种高级形式的放疗-质子治疗,能够以更好的方式为某些肿瘤类型塑造辐射剂量,只靶向肿瘤病灶,并尽可能保留肝脏的其余部分。Roberto听取了博士的建议,在美国UC Health质子治疗中心进行了质子治疗,这是美国仅有的几家质子治疗中心之一。Kharofa博士说,由于Robert的肝癌类型非常罕见,治疗前我们都不确定效果会怎么样,结果,他的的反应非常好,治疗很成功。几乎已经找不见病灶,只要定期来医院复查就可以了,回归正常生活。

Roberto与医生沟通中

7、中医中药及免疫治疗

能减轻肝癌患者痛苦、提高生存率、提高生存质量,尤其在退黄、减轻腹水,减轻化疗反应方面有独到之处,可以作为一种辅助治疗。对所患疾病进行辩证施治,并且可以辅助包括手术、放疗、化疗及各种介入治疗中,有助于提高患者的疗效及患者的生存质量。

总之,肝癌的各种治疗方法均能达到一定的疗效,其中以手术切除效果最好。肿瘤局部治疗技术很大程度上改善了肝癌患者尤其是晚期患者的预后,但是由于肝癌病因的多样性,肝癌治疗难以找到单一的特效方法,使综合治疗成为一种必然趋势。

       乐伐替尼(仑伐替尼,E7080,Lenvima)常见问题

1乐伐替尼/仑伐替尼的使用说明
2
乐伐替尼靠谱渠道代购一个月多少钱
3乐伐替尼简介及注意事项
4】乐伐替尼为肝癌患者带来了希望
5】乐伐替尼 Lenvatinib(Lenvima)最常见副作用

6】症状自查与建议
7】为什么肝癌一线用药同时有乐伐替尼与索拉非尼(多吉美)
【8用于治疗甲状腺癌、肾癌和肝癌的乐伐替尼
9】肿瘤治疗常见问题

上一篇:2019肝癌药物治疗大全(化疗、靶向、免疫怎么选

下一篇:肝癌靶向药,肝癌靶向治疗,肝癌靶向药物,又一个

 QQ

扫描二维码分享到微信